


オモニューレクサ プラス(5065N)
オモニューレクサ プラス とは
オモニューレクサ プラスは、亜脱臼になりやすい脳卒中後の肩関節を懸垂するための装具です。
上腕骨頭を求心位に保ち、痛みの発生を防ぐことが期待できます。
また肘関節の拘縮や廃用を防ぐだけでなく、歩容の改善や立ち上がり動作の安定が期待できます。
そのため、早期にリハビリを開始することが可能になります。
リハビリでの活用
装着効果

肩関節(上腕骨頭)の位置改善
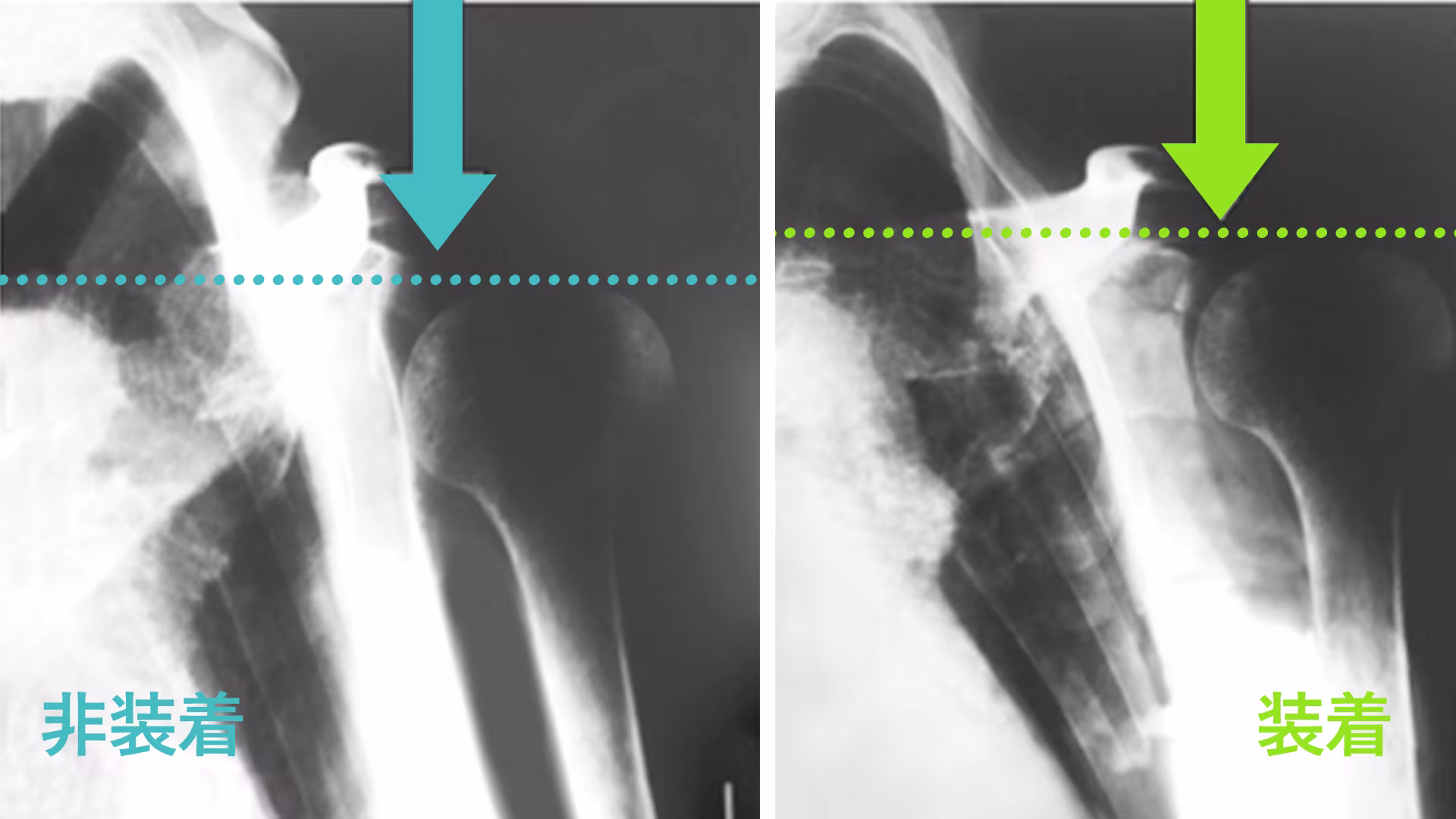
写真は肩関節亜脱臼に対し、オモニューレクサ プラスの非装着時(左)と装着時(右)の上腕骨頭の位置をレントゲンで撮影したものです。オモニューレクサ プラスを装着することで、上腕骨頭の位置が改善された様子が確認できます。
写真は肩関節亜脱臼に対し、オモニューレクサ プラスの非装着時(左)と装着時(右)の上腕骨頭の位置をレントゲンで撮影したものです。オモニューレクサ プラスを装着することで、上腕骨頭の位置が改善された様子が確認できます。

装着肢位の比較
前腕カフを連結し、引き上げることで上腕骨頭を関節窩へ引き寄せ、肩関節構成体への負担を軽減します。また、装着肢を肩関節外旋位、肘関節軽度屈曲位、前腕回外位に保持する構造になっており、自然肢位の保持(不良肢位・動作の改善)、歩行訓練時の体幹の安定効果が期待されています。
前腕カフを連結し、引き上げることで上腕骨頭を関節窩へ引き寄せ、肩関節構成体への負担を軽減します。また、装着肢を肩関節外旋位、肘関節軽度屈曲位、前腕回外位に保持する構造になっており、自然肢位の保持(不良肢位・動作の改善)、歩行訓練時の体幹の安定効果が期待されています。
自己装着によるADLの確立
オモニューレクサ プラスは、自立したADLを目指すために独特の形状デザインやベルト構造により、自己装着が可能になっています。脳卒中発症後の早期段階で、肩関節亜脱臼や疼痛予防の目的で使用するだけでなく、社会復帰後の日常生活においても使用することができます。
なお、自己装着の可否は、リハビリの進行度と本人の身体状況によって見極め、必ずリハビリにて十分な訓練を行う必要があります。担当の医師、義肢装具士をはじめとした医療従事者にご相談ください。
よくある質問
カタログ
リハ施設向け勉強会
オモニューレクサ プラスを知っていただくために、正しく使用していただくために、オットーボックではオモニューレクサ プラスの勉強会をご提案しています。
オットーボックの開発背景や理論を理解いただいたあとに、試着しながらの装着経験をしていただきます。
実際に使用してみたいユーザーがいた際に、しっかり対応していただけるようになります。
*リハビリ施設向けの医療従事者対象の勉強会です。お申込み後、オットーボックよりご連絡いたします。


















